
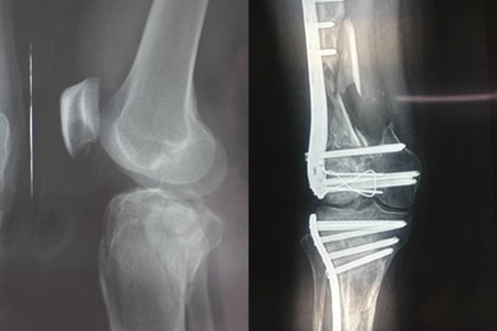
生活中我们难免会遇到一些小意外,在这些意外之中我们难免会受到一些伤害,而当下很多人在一些事故中都出现了右胫骨平台骨折的情况,很多人受伤之后都去做一些伤残等级鉴定,大家知道为什么要做这个鉴定吗?其中的原因你是否都清楚呢?下面我们一起来分析一下。

一、右胫骨平台骨折出现的原因
其实日常生活中我们使用右手的概率比左手要多很多,所以右手很容易受伤,无论在哪个年龄层都是一样的,生活中难免存在一些意外的事件,有时候轻轻摔一跤就会导致右手骨折的,要知道人的骨头都是十分脆弱的,它不是钢铁打造的,一遇到意外就会产生严重的后果。

二、为什么要做伤残等级鉴定
要知道生活中意外的事故是难免会存在的,可能有时候你就那么不幸运遇到了某些意外的事故,这个时候做伤残等级鉴定是为了帮助你更好的维护自己的权利,我们可以根据这个鉴定表去索要自己应得的赔偿。
三、伤残等级鉴定表的重要性
这个伤残等级鉴定表不仅可以让我们得到自己应该得的赔偿,还能给我们的心理上一点安慰,让我们不必要担心自己的身体出现了某些问题,如果等级不是很高的话,那应该只是轻微的骨折,如果等级很高的话,说明身体状况出现了严重的问题,需要及时治疗才行。
【女物原创,未经允许谢绝转载!】