
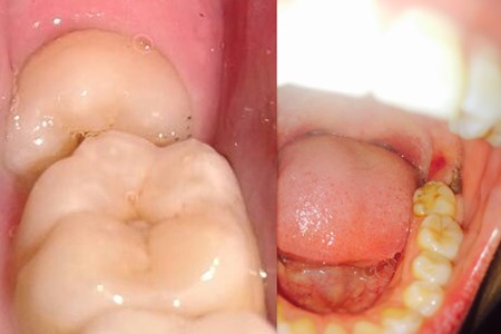
现如今,很多人的生活根本没有规律,这是因为如今社会进步了,导致了人们的生活节奏变快了,给在社会上打拼的人们带来了很大的压力,而饮食的不规律很有可能导致人们经常上火,从而使智齿后面的牙龈长出肉芽,又红又肿的那种,叫人痛不欲生,但是上火只是造成智齿后面牙龈长肉芽的原因之一,还有可能是其他的炎症引发的并发症。

前面说了智齿后面牙龈长肉芽的原因有哪些,那么出现这种情况我们应该采取什么措施呢?如果智齿后面的牙龈经常长红肿的肉芽的话,那应该考虑到医院去检查一下了有可能医生会让你将智齿拔除,也有可能情况没有那么严重,医生会建议你用点消炎药或是其他种类的药,来使肉芽快速消肿。但是如果不从根源解决问题的话,还是会复发的。

要想让智齿后面牙龈不再长出红肿的肉芽的话,我们应该从根源解决问题,那便是养成良好的生活习惯,比如多吃蔬菜水果,少吃重口味的食物,每天都有早睡早起还有坚持锻炼身体等等。
其实在如今这个压力大和竞争也很激烈的社会中生存下去是很不容易的,人们往往拿身体去拼事业,因为年轻所以不怕,但是以后老了的时候却是很难过的,因为会出现很多的病痛,让你的老年生活并不那么好过,所以趁着还年轻的时候,赶紧把那些不好的习惯改过来吧!
【女物原创,未经允许谢绝转载!】